Labonderzoek naar uw huisdier

Labatorium in huis

In ons eigen laboratorium kunnen wij veel onderzoeken zelf uitvoeren, zonder dat u doorverwezen hoeft te worden. Op die manier kunnen we eventuele ziektes bij uw huisdier in een vroeg stadium ontdekken. Of het nu gaat om bloed, urine, ontlasting of een weefselonderzoek: in veel gevallen kunnen we zelf onderzoeken wat de klachten bij uw huisdier veroorzaakt.

Als uw dier ziek is, kan het nuttig zijn om extra onderzoek te doen bijvoorbeeld naar ontlasting, urine, bloed of weefsel. Door de moderne bloedapparatuur in ons laboratorium kunnen we onderzoek doen naar organen, inclusief hormoontesten zoals progesteron, schildklier of ammoniakbepalingen. Daarnaast hebben we een apparaat voor het onderzoek van bloedcellen wat in het geval van ontstekingen of bloedarmoede van pas komt. Wanneer we weefsel onderzoeken (cytologie) of ontlasting en urine, doen we dit onder de microscoop. Zo kunnen we eventuele ziekten al in een vroeg stadium ontdekken en behandelen.

Laboratorium in huis

Omdat we een laboratorium in huis hebben, hoeven we u eigenlijk zelden door te verwijzen. Sterker nog: er zijn dierenartsen die juist naar ons doorverwijzen, omdat ze zelf de techniek niet in huis hebben om uitgebreid laboratoriumonderzoek te doen. U bent dus in onze moderne kliniek in de beste handen. Wilt u meer weten over de mogelijkheden die ons eigen laboratorium en onze specialisten u en uw huisdier kunnen bieden? Neem gerust contact op.

Bloedonderzoek

Het bloed van uw huisdier zegt veel over de gezondheid. Doordat WB Dierenartsen een laboratorium in huis heeft, kan veel bloedonderzoek gemakkelijk en snel gedaan worden. Eventuele afwijkingen kunnen we dan ook in een vroeg stadium ontdekken. Zo kunnen we in geval van een afwijking samen met u kijken wat er aan te doen is.

  • Cytologie bij uw huisdier

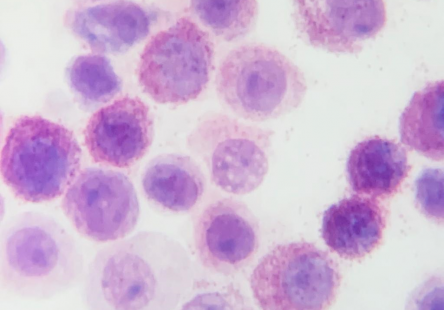
    WB Dierenartsen beschikt over een eigen laboratorium, waar we onder meer onderzoeken aan losse cellen kunnen uitvoeren. Dit wordt ook wel cytologie genoemd. Het voordeel van deze methode is dat de artsen van WB Dierenartsen snel en goedkoop een goede indruk kunnen krijgen van welke aandoening uw dier zou kunnen hebben. Ook is het niet belastend voor uw huisdier, omdat een zware ingreep of narcose niet nodig is. Bijna alle weefsels en cellen van lichaamsvloeistoffen kunnen met een speciale kleurstof worden gekleurd en daarna onder de microscoop bekeken worden.

  • Microscopie bij uw huisdier

    In het laboratorium in huis bij WB Dierenartsen kunnen we vaak snel een diagnose stellen, mede door microscopie – en dus een goede behandeling bieden. Omdat we een grote groepspraktijk zijn, hebben onze artsen veel kennis in huis op diverse gebieden en kunnen we beschikken over veel professionele apparatuur.

  • Ontlastingsonderzoek bij uw huisdier

    Voor ontlastingsonderzoek van uw huisdier bent u bij WB Dierenartsen in goede handen. Om dat zo goed mogelijk te doen, is het belangrijk dat u ontlasting aanlevert die zo ‘vers’ mogelijk is. In ons eigen laboratorium testen we dit op spoel-, lint- en haakwormen. Ook op de eencellige parasiet Giardia kan worden getest.

  • Urineonderzoek bij uw huisdier

    Urine kan veel informatie geven over de gezondheid van uw huisdier. Niet alleen over de urinewegen zelf, maar ook over de stofwisseling. In ons eigen laboratorium kan WB Dierenartsen achter eventuele ziektes komen en een passende behandeling voor uw dier voorschrijven.

  • Bloedonderzoek bij uw huisdier

    Het bloed van uw huisdier zegt veel over de gezondheid. Doordat WB Dierenartsen een laboratorium in huis heeft, kan veel bloedonderzoek gemakkelijk en snel gedaan worden. Eventuele afwijkingen kunnen we dan ook in een vroeg stadium ontdekken. Zo kunnen we in geval van een afwijking samen met u kijken wat er aan te doen is.

Maak kennis met ons team

Onze dierenartsen

Bij WB Dierenartsen werken louter deskundige en ervaren dierenartsen. Wij stellen alles in het werk om uw dier gezond en wel naar huis te laten gaan. Dankzij onze disciplines, behandelingen en laboratorium in huis kunnen wij de passende zorg verlenen. Graag stellen wij onze artsen aan u voor!

Vragen?

Heeft u vragen? Neem gerust contact met ons op

Heeft u vragen of wilt u meer weten over een onderzoek of een behandeling? Neem contact met ons op en laat het ons weten, wij helpen u graag verder!